Général
- Rare
- Proliferation de tissus fibreux dans le médiastin
- Réaction à un processus inflammatoire/infectieux avec production de collagène
- Idiopathique++, Parfois due à l’histoplastmose
Formes
Granulomateuse/Focale
- Réaction à une infection
- Plutot focale, avec calcifications
NonGranulomateuse/Diffuse
- Réaction à une inflamamtion (Igg4, fibrose retropé, cholangite, ETC)
- Plutot diffuse sans calcification
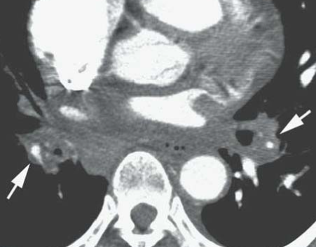
CT
- Masse médiastino-hilaire (peut être calcifiée)
- Comblement des espaces graisseux
- ADP calcifiées (si infection histoplasmose)
- Rétrécissement trachéo-bronchique
- Retrecissement des vaisseaux
- Peut capter au PET mais pas forcément → pas utile


calcifiantes calcifiée Histoplasmose histioplasmose fibrose mediastin médiastinite médiastinale mediastinale mediastin médiastin fibrosing mediastinitis sclerosing sclerosante igg4