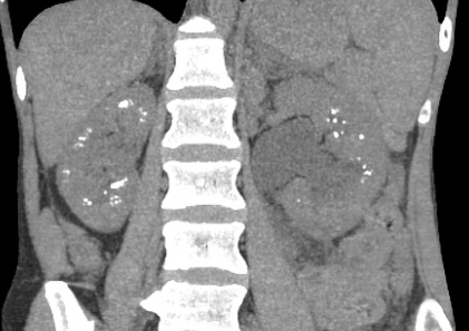
Maladie de Cacchi-Ricci
Général
- Maladie congénitale rare
- Ectasies et Kystes dans la médullaire
- Multiples calculs calciels → Finit en Néphrocalcinose médullaire
- Infections récurrentes
- Associée à la maladie de Caroli

Imagerie
- Calcifications de la médullaire → Finit en Néphrocalcinose médullaire
- Dilatation des tubules: aspect “paintbrush” du contraste urinaire


Caci cacchi cacci rici ricci ricchi médullaires sponge bob medullary kidney kidneys pinceau eponges éponges rein rénal rénal medulaire médulaire medullarie médullaire medulla médulla medula médula