
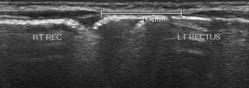
- >15-25mm pathologique environ
- Fait des hernies mais sans risque de strangulation (pas des vraies hernies)
- Decrire si diastasis supra-ombilical ou infra-ombilical

Chez un nouveau-né


Délimités avec du bleu de méthylène
1 min read


Chez un nouveau-né


Délimités avec du bleu de méthylène