Général
- Déposition de calcium dans le cortex ou médullaire
Néphrocalcinose corticale
- Sur chocs hypovolémiques (nécrose corticale aigue)
- Sur glomérulonéphrite chronique
- Sur Oxalose secondaire (anomalie du métabolisme de la bile sur problème du grêle (résections, Crohn))
- Sur Syndrome d’Alport
- Sur rejet de transplant rénal
Mnemotechnique GOAT - Glomerulonephritis - Oxalosis - Acute Cortical Necrosis - Transplantation
néphrocalcinose nephro calcinose néphro medullary sponge kidney médulalire
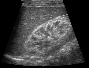
Néphrocalcinose médullaire
- Accentuation de la différenciation cortico-médullaire avec hyperéchogénicité médullaire
- Hyperparathyoridie ++ (effet de l’hypercalcémie)
- Sinon acidose rénale tubulaire
- Sur Reins médullaires en éponge

Mnemotechnique HAM - Hyperparathyroidie - Acidose Rénale Tubulaire - Medullary sponge kidney
nephro néphro calcinose calcinosis nephrocalcinose néphrocalcinose medulaire medullaire médulaire cortical cortex medula medulla médulla médula