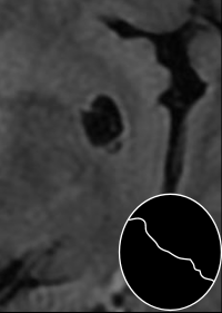
IRM
- Dilattion périvasculaire
- Artère au centre
- Souvent dans les noyaux profonds mais peuvent se voir partout

wirchow virchow virchov wirchov virchowrobin espace dilaté dilates éspace espaces périvasculaires perivasculaires
1 min read
IRM

wirchow virchow virchov wirchov virchowrobin espace dilaté dilates éspace espaces périvasculaires perivasculaires