Schema


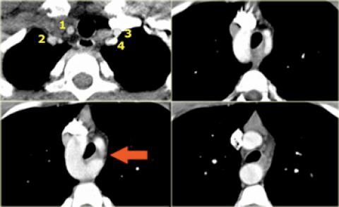
Artère sous-clavière droite aberrante
- Synonyme: Arteria Lusoria
- La plus fréquente des anomalies
- Asymptomatiques ++
- Rarement: Dysphagia Lusoria (compression oesophage)
- Peut faire des diverticules de Kommerell (plus rarement que la gauche aberrante)

Syndrome de compression du tronc brachiocéphalique
- Chez l’enfant le TBC peut être plus proche de la trachée
- Clinique: Stridor, cyanose

Arc aortique droit
- Asymptomatique
- Souvent associées à d’autres anomalies
- Associé à des anomalies cardiaques dans 95% (Tetrallogie de fallot 25%)
- Sur une RX, regarder l’impression de l’arc aortique sur la trachée donne une bonne idée si l’arc est à gauche ou à droite

Arc aortique droit + Artère Sous-clavière G aberrante
- Souvent associé à des diverticules de Kommerell (plus réquemment que pour la droite aberrante)

Double arc aortique
- Malformation symptomatique la plus fréquente
- Compression trachéale avec symptomes respiratoires++
- Double compression de l’oesopage en “Reverse S” sur la TOGD typique

Double arc aortique avec segment atrésique

Arc bovin
- Le plus fréquent
- Artère carotide commune gauche qui part du TABC


Le vrai arc bovin des vaches est un départ commun de tout
Schema Impression Trachéo-Esophagienne

Cas
Arteria Lusoria


Coarctation De l’aorte Innominé innominate artère artre sous claviere droite aberrante lusiroa lusoria lousoria innominée innominée arc aortique droit duplication double ring slings vascular atresique atresie variantes aortique aorte aorta aortiques aortique variation anatomie Variantes de l’aorte slings rings komerel komerell kommerell kommerrel kommerell kommerrell kommerel dysphagie