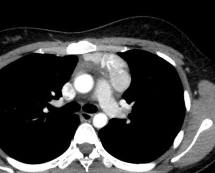
Général
- Maladie lymphoproliférative
- Masse médiastinale solitaire
- Masse médiastinale solitaire ou plusieurs adénopathies hypervasculaires
- Peut se trouver en axillaire, cervical, abdomen aussi
- Siedeens avec HHV-8

castale castle Castlman chateau castelman castlemane castrleman castelmann kastelman disease thoracique thorax angiofollicular lymph node hyperplasia or giant lymph node hyperplasia Maladie lymphoproliférative bénigne de forme localisée ou multicentrique mediastinale mediastin médiastin