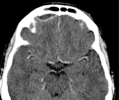
Général
- Vient souvent d’une sinusite au contact
Imagerie
- Abcès lenticulaire
- Prise de contraste de la paroi
- Sinusite associée
- Pneumocéphalie
- Pus = restriction de diffusion +++

abcess abces abcès absces abscès dural dure-mère mere epidural epidurite cerebral cérébral epiduraux épiduraux pott poffy tumor cerveau meninge méninge méninge brain