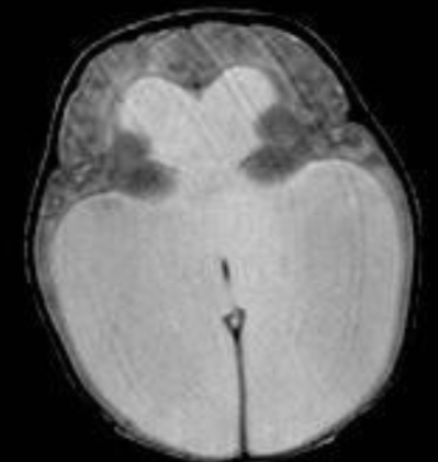
Général

  • Cause des hydrocéphalies non-communiquantes
  • absence de Flow de LCR

877cc128e0ec6fd3fbdb14236e0b0018.png f2a232bad93a1fdc2beae0e6303a2e8e.png

stenose aqueduc acqueduc acqueduct de slyvius