Syndrome HC-HB
Général
- Manifestation rare du diabète mal équilibré
- Hyperglycémie non cétosique
- Mouvements anormaux soudains
- Symptomes réversibles avec la correction de la glycémie

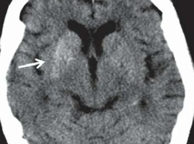
Imagerie
- Hyperdensités du striatum (noyau caudé putamen)
- Hyperintensités T1


hemichr hemi choree hemichoree hemiballisme hemibal hémibal hemiballism hémiballisme glycémie glycemie hyperglycemi hemibalisme