Col Fémoral

Garden (Pour les fractures sous-capitales)

Intertrochanterienne

Avulsion

Sous-trochanterienne

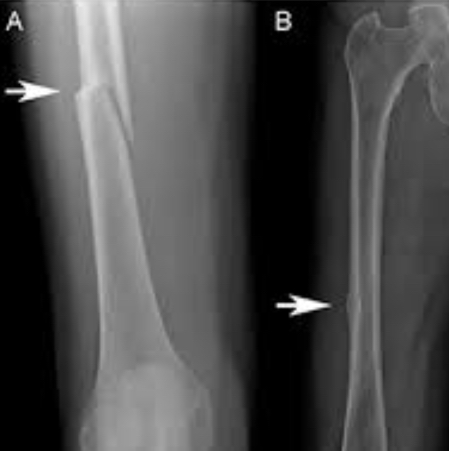
Fracture Atypique
- Les Patients sous biphosphonates chroniques ou Denosumab peuvent faire des fractures diaphrasaires fémorales sur des mouvements peu importants
- Peut avoir deja un aspect de fracture incomplet en regardant d’anciens clichés

fracture du col femoral classification capitale souscapitale garden graden sous- sous-capitale capital souscaptial transcervical tran trans cervicale trans-certivale trans-cervicale transcervicale basi basicervical basicervical