General
Luxation antérieure dislocation hagl haggl
- 95% des luxations
- Techniquement c’est antéro-inférieur++
- Tomber le bras en avant
Luxation postérieure
- 5% des luxations
- Choc electrique, Crises d’épilepsie
Luxation inférieure (Luxatio Erecta)
- Très rare
- Complications vasculaires et nerveuses ++
RX Luxation Aigue
Bilan RX
- Face, Profil, Profil de Lamy (superposition de la scapula et de la diaphyse)
- Pré et post réduction



Dislocation Antérieure
- Encoche de Hillsachs (postero-supérieur) (chercher l’ostéocondensation sous-chondrale)
- Bankart Osseux (antéro-inférieur)
- Autres fractures: tubercule, tête, coracoide

A noter que le Hill-sachs se voit mieux sur les incidences RI
Dislocation postérieure
- Difficile à voir
- Manque de congruence Gléno-humérale, sans l’aspect de l’humerus en avant d’une luxation antérieure
- Confirmée par l’incidence profil
- Lightbulb sign = La rotation de l’humerus lui fait prendre une forme plus “ronde” et mime une rotation interne (signe rare)
- Autre signe possible: Overlap gléno-huméral (through ligne sign)
- Complication: Reverse Bankart, Reverse Hill-Sachs


Dislocation inférieure (luxatio erecta)
- 1% des dislocations
- Bras levé, immobile
- Complications vasculaires et nerveuses ++
- La tête de l’humérus est situé inférieurement à la glène
- A ne pas confondre avec une luxation antéro-inférieure classique

IRM à distance
Séquence ABER
- Seule indication = Patient jeune <40ans avec recherche d’instabilité Gléno-Humérale

SLAP vs Bankarts
- SLAP = Lésion du complex labro-bicipital à son attache glénoidale = Commence à 12h (insertion du long biceps) et s’étend entre 10h et 2h voir plus
- Bankart = atteinte du cartilage glénoidal = Commence vers 3-6h (impact antéro-inférieur de la tête) (CF: Instabilité antérieure de l’Epaule)

Bankarts et Variantes

Bankart
- Détachement du labrum antéro-inférieur (3-6h)
- Arrachement du périoste scapulaire antérieur
- Avec ou Sans Bankart Osseux

Labrum glénoidal détaché et migré antérieurement

Bankart Osseux
Reverse Bankart
- Luxations Postérieures
- Détachement du labrum postéro-inférieur (6-9h)
- Arrachement du périoste scapulaire postérieur
- Avec ou Sans Bankart Osseux
- Si Bankart Osseux = mesurer son ratio de surface avec la glène, <10% = conservateur ++

Perthes
- Presque comme un bankart
- Détachement du labrum antéro-inférieur (3-6h)
- PAS d’arrachement du périoste scapulaire antérieur (Luxé médialement)

ALPSA
- Détachement du labrum antéro-inférieur (3-6h)
- Migration médiale du fragment
- Périoste scapulaire antérieur intact

GLAD
- Pas associées à l’instabilité antérieure normalement
- Déchirure partielle du labrum antéro-inférieur (3-6h)
- Déchirure du cartilage

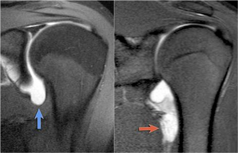
HAGL / GAGL
Humeral Avulsion of the inferior Glenoidal Ligament
- Disruption du IGHL (ligament gléno-huméral inférieur)
- Passage de liquide
- HAGL = Disruption de l’attache humérale
- GAGL = Disruption de la partie Glènoide

Récessus axillaire normal (bleu), vs HAGL (rouge)
Traitements Chir
Latarjet
- Morceau de coracoide
- Fixé par vis dans la lésion de la glène

HAGGLE HAGGLE HAGLE HAGLLE HAGLL HAGGL HALG HAIGLBankart osseux reverse bankart perthes ALPSA APSLA ALPLSA APSLA ASLPLA ASLPA APSLA ALPSA GLAD DLAGG GLLAD GLADD
incidence de lamy lamry larmy
instabilité luxio luxa luxia luxatio erecta erectae erectée gléno humérale glène glénoide humerus tete Neer Hill sachs hill-sachs hagl haagl haaggl haggl haggle Lamy Lamry instabilite glene glenoide glénoïde dislocation luxée luxee epaule humerale humérale glenohumeral glénohum gleno-hum gléno-hum