Général

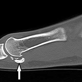
  • Sclérose et petits fragments

du abasculaire avasculaire os sésamoïde sesamoide sesamoïde sésamoide

340434e3cd0e23ee29cebb204ba637ac.png b3202ac7fe73664aafc15ab8e6430090.png