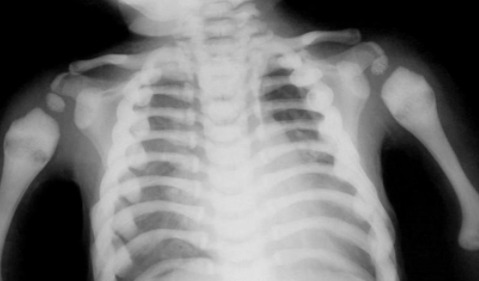
Maladie des os de Marbre, Maladie d’Albert-Schönberg
Général
- Maladie héréditaire osseuse
- Dysfoncitionnement des ostéoclastes (hypoactifs contrairement au Paget)
- Os sclérotiques et épaissis, sujets aux fractures
- Anémie (prend la place de la moelle)
- Symptomes des nerfs craniens (comblement des foramens du crane)
Sous-types
- Infantile: souvent mortelle
- Adulte: plus bénigne
Imagerie
- Epaississement Osseux
- Sclérose diffuse
- Elargissmeent et bandes aux métaphyses
- Vertèbres en Sandwich (Comme un rugger-Jersey mais mieux délimité et plus hypodense au centre)







osetop ostéo osteo petrose pétrose ostéopétrose osteopétrose ostéopetrose petroe