Général

  • Synovite
  • Acné
  • Pustulose
  • Hyperostose
  • Ostéite

62647e6fff440e2a67298bd60c5346ee.png

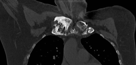
Sterno-claviculaire

  • Synovite
  • Ostéocondensation

e07e285f1afae487afa2733fbb744f1a.png

d04653affe524ca33dc0be438e387c63.png

Autres os

  • Autres régions d’ossifications

d691e88dec1943c915caa73e82849664.png c6578a264bdf8165a3435d3543dc414a.png