Osteoclastome
Général
- Tumeur bénigne (rarement maligne)
- Réccurentes ++ (définit l’aspect malin)
- Sur-expression de RANK-L = Prolifération d’ostéoclastes
- Origine de la métaphyse et pousse dans l’épiphyse
- 99% quand la plaque de croissance est fermée (jeunes adultes)
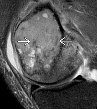
- Contient des kystes hémorragiques
- Clinique: Douleurs, tuméfaction, genes, fracture pathologique
- Traitement : Denosumab pour temporiser avant une prothèse, ou Chirurgie suivant la localisation
Localisation
- Extremité des os longs ++
- Métaphyse avec Extension dans les épiphyses jusque vers l’os sous-chondral

Descritpion
- Marges non-sclérotiques (alternance de zone de transition serrée et de marges non sclérotiques = assez spécifique)
- Possible franchissement cortical avec envahissement des tissus mous
- IRM: zones hypo-T2 (régions fibreuses ou hémorragiques)




Check-list (doit contenir les 4)
- Les Physes sont fermées
- Extension épiphysaire vers l’os sous-chondral
- Localisation eccentrique (dur a dire car souvent grosse lésion)
- Zone de transition fine avec marges non sclérotiques
Autres localisation typiques ou les critères ne s’appliquent pas
Sacrum

Pelvis

Calcanéum

Giant cell tumor gct