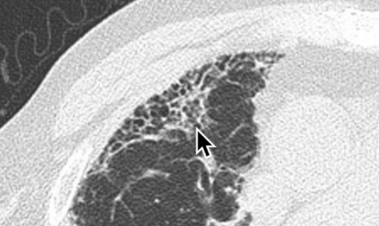
Emphysème Paraseptal

  • L’emphysème paraseptal a des kystes plus variables en taille
  • L’emyphsème paraseptal a des parois plus fines 57d3b17303fadcb39a990ec7b15c1c7e.png

Rayon de miel

2fb3a9fe570a5bf6ca637e58d302bb7a.png

honey honeycombing rayondemiel emphysème emphyseme