Fahrnipedia
Search
Search
Dark mode
Light mode
Explorer
Cardio-Vasc
1 - Anatomie artère poplitée
1 - Anatomie Artères Membre Sup
1 - Anatomie Azygos et Hémiazygos
1 - Anatomie Cardiaque
1 - Approche des Malformations cardiaques
1 - artère intercostale supreme
1 - Artères Coronaires
1 - Chirurgie Aortique
1 - Chirurgie des Valves
1 - Coro-CT (CCTA)
1 - Coro-CT aux Urgences
1 - Cycle cardiaque
1 - Imagerie Fonctionelle Cardiaque
1 - IRM Aorte
1 - IRM Cardiaque : 1. Séquences
1 - IRM Cardiaque : 2. Exemples
1 - IRM Malformations Vasculaires
1 - Mesures Sinus de Valsalva
1 - Paroi Aortique (Couches)
1 - Plaque d'Athérome
1 - Plaque d'athérosclérose (Types histologiques)
1 - Récessus péricardiques
1 - Scanner du VD (4 Cavités)
1 - Score de risques cardiaques
1 - Septum interventriculaire
1 - Tendyne
1 - Topogramme CT coeur (decouvertes fortuites)
1 - Valve Mitrale
1 - Veines Paraombilicales
1 - Vues cardiaques
1- Anatomie de l'AMS
1- Valve Aortique anatomie
Ablation de Fibrillation auriculaire
Ablation de Flutter Atrial
Adventice partagé TroncPulm-Aorte
Agénésie Partielle du Péricarde
ALCAPA
Anémie
Anévrisme Mycotique
Anévrisme Viscéral
Anévrisme/ Ectasies des Coronaires
Anevrismes Aortique
Angiosarcome du Tronc Pulmonaire
Annuloplastie tricuspidienne
AOMI (artériopathie oblitérante des membres inférieurs )
Aortites Infectieuses
Artère pulmonaire gauche rétro-trachéale
Artère Sciatique persistante (PSA)
Artères Péniennes
Artères Polaires Rénales Accessoires
Atheromatose
Atrésie Tricuspidiene Opérations
Atriclip
Autogreffe, Allogreffe, Homogreffe, Xénogreffe
Ballon de Contre-Pulsion Aortique
Bilan Pre-Don de rein
Bioprothèse Freestyle
Branche du Conus
Bypass et Stents Coronariens
Calcification du ligament artériel
Calcifications de l'aorte ascendante
Cardiomegalie (CT)
Cardiomyopathies
Catheter Pulmonaire (Rx Thorax)
Circulation Extracorporelle (CEC / ECMO)
Clip Auriculaire Percutané (Amplatzer)
Coarctation Aortique
Coeur Gauche hypoplasique
Collatérales Artérielles Systémiques
Complications d'Infarctus
Cor Triatriatum
Coral Reef Aorta
Corona Mortis
Crypte Cardiaque
CTEPH
Defect Inter-Atrial (ASD)
DIEP
Dispositif de fermeture de CIA
Dissection Aortique
Diverticule de Kommerell
Drain Péricardique
Drain Pleural (Rx Thorax)
Dysplasie Fibro-musculaire (FMD)
Earliest-To-Latest Aortes
Ehler Danlos Vasculaire
Emoblie Pulmonaire Gazeuse
Endocardite
Endoprotheses Aortiques / Endofuites
Epanchement Péricardique
Épanchement Péricardique (RX)
EVOQUE (TTVR)
Fibrose Rétropéritonéale
Filtre Cave
Fistule aorto-cave
Fistule aorto-entérique
Fistule arterio-veineuse MI
Fistule Arterio-Veineuse Native (Hemodialyse)
Fistule coronarienne
Fraction d'éjection
Fracture de Stent Poplité
Graisse péri-vasculaire Coronairenne
Hématome Intramural Aortique
HIIT
Hyperplasie Intimale
Hypertension Pulmonaire (HTP)
Index Cardio-Thoracique (RX)
Infarctus du Myocarde
Infection de prothèse vasculaire (IPV)
Kyste Adventitiel Poplité
Lambeau ALT
Lambeau Libre de l'Avant Bras (RFFF)
Lambeau PAP (Perforante Artère Fémorale Profonde)
Lambeau Peroné
Ligament Arque Median
Loeys-Dietz
LVAD
Maladie de Buerger
Maladie des trois vaisseaux
Maladie veino-occlusive pulmonaire
Maladie veino-occlusive pulmonaire
Malformation Vasculaire des Tissus Mous
Marfan
MAV Pelvienne
Médiolyse Artérielle Segmentaire (SAM)
Métastases Péricardiques
Midaortic Syndrome (MAS)
Mitraclip
Moignon de Cannulation de Prothèse Aortique
Morphologie de l'Arc Aortique
Nécrose caséeuse de la valve mitrale
Non-compaction du ventricule gauche (NCVG)
Occlusion Aorto-Iliaque
Occlusion traumatique de l'artère poplitée
Pacemakers / Defibrillateurs
Paget-Schroetter (thrombose d'effort)
Paragangliome Cardiaque
Perfusion CT du VG
Pericardite Aigue
Pericardite Constrictive
Pinch Off Syndrome (VVC)
Pneumopéricarde
Pont myocardique
Pontage axillo-femoral
Priapisme
Prothèse Aortique en Dacron (Greffe)
Pseudoanévrisme de l'Artère Fémorale
Pseudoanévrisme Traumatique
PVOD et PCH
Reconstruction Aorte-MI AW Server
Rupture de muscle papillaire
S-Shaped SAN Artery
SAM
Sarcome Intimal de l'Aorte
Score Calcique
Shunt de Cabrol
Sinus coronaire fénestré
SNG / SNJ (Thorax)
Standing Waves Arterielles
Sténose de la Valve Pulmonaire
Sténose des artères à destinée viscérale
Syndrome Aortique Aigu
Syndrome Coronarien Aigu Post-Partum
Syndrome de Casse-Noisette
Syndrome de l'Artere Mesentérique superieure
Syndrome de l'artère poplitée piegée
Syndrome de la Tortuosité Vasculaire
Syndrome de May-Thurner
Syndrome du défilé thoracique (TOS)
Syndrome du marteau hypothénar
Syndrome du vol vasculaire (dialyse)
Takotsubo
TASC II
TAVI
TGV Operations
Thrombose de la Veine sous Clavière
Thrombose de la Veine sous Clavière
Thrombose Valvulaire
Thrombose Veineuse MI (TVP)
Thrombus / Pannus / Végétation Fuite de Valve Prothétique
Thrombus Flottant Artériel
Thrombus Intra-Cardiaque
Torsion d'une frange graisseuse épi-péricardique
Toxicité Cardiaque des Traitements Oncologiques
Transposition vs Pontage carotido-sous-clavière
Trauma Aortique
Travées Graisseuses Myocardique Normales
Tronc coelio-mésentérique
TSE vs GRE
Tularemie
Tumeurs Cardiaques Bénignes
Tumeurs Cardiaques Malignes
Ulcère Pénétrant Chronique
Valve Aortique Bicuspide
Valve Aortique Unicuspide
Valve Cardiaque Mecanique (Mesures)
Valves Cardiaques (RX)
Valvulopathies
Variantes Artères et Veines Rénales
Variantes Cardiaques
Variantes Coronariennes
Variantes de la Veine cave inférieure (VCI)
Variantes des Arcs Aortiques
Variantes du Septum Inter-Atrial
Variantes Veine Cave Supérieure (VCS) et Autres
Vasculites 1 - Gros Vaisseaux
Vasculites 2 - Moyens Vaisseaux
Vasculites 3 - Petits Vaisseaux ANCA
Vasculites 4 - Petits Vaisseaux Non-ANCA
Voies veineuses mal placés
Interventionnel
1 - Habillage
1 - Anesthésiants Drainages
1 - Anticoagulants et Gestes
1 - Avant un drainage
1 - Hypnose
1 - Matériel
Achalasie de l'Oeosphage TOGD
Anévrisme de l'Artère Poplitée
Anneau Gastrique TOGD
Bypass Gastrique TOGD
Candidose Oesophagienne TOGD
Diverticules de l'Oesophage TOGD
Drainage d'ascite US
Drainage pleural CT
Drainage pleural US
Drains Biliaires
Duodénite TOGD
Emprunte du cartilage cricoide TOGD
Excrétion Vicariante d'Iode
Fausse Route TOGD
Hypetrophie du mucle crico-pharyngé TOGD
Opacification de PAC XA
Presbyoesophage TOGD
Pseudodivericulose oesophagienne intramurale TOGD
Sleeve Gastrectomie TOGD
Sniff Test XA
Ulcères Gastriques TOGD
Varices Oesophagiennes TOGD
Neuro
0 - Memo Neuro
1 - Artère d'Adamkiewicz
1 - Artère récurrente de Heubner
1 - Artères cérébrales (segments)
1 - Foramens du Crâne
1 - Gradidents et Flow de la Sténose aortique
1 - Gyrus Cérébraux
1 - Lésions de la Moelle
1 - Post-Op Tumeur Cérébrale
1 - Protocoles CT-IRM Neuro Urgences
1 - Séquences IRM Neuro
1 - Terminaison Carotidienne (occlusions en T, L, I)
1 - Tumeurs de la moelle (localisation)
1 - Vaisseaux du Cou (Segments)
1- Méat auditif Anatomie
1- Territoires Vasculaires Neuro
Abcès Cérébral
Abcès épidural Cérébral
Adenomes Hypophysaires
Amnésie globale transitoire
Anevrisme Mycotique Cérébral
Anévrismes Cérébraux
Angiopathie Amyloïde Cérébrale
Artère stapédienne persistante
Arteriopathie Microvasculaire Cérébrale
Atrophies du Cervelet
AVC Cliniques et Territoires
AVC - Transformation Hémorragique (ECASS II)
AVC Atheromateux
AVC Athéromateux
AVC CT
AVC IRM
AVC Jonctionnel
Carcinose leptomeningée
Cavernome Cérébral
Claude Bernard Horner
CLOCC
Collection rachidienne postopératoire
Contusion Cérébrale
Craniopharyngiome
Craniotomie / Cranioplastie / Craniectomie
Dégénérescence Combinée subaigue
Degenerescence Olivaire Hypertrophique
Dégenerescence Wallerienne
Démences
Demyélinisation Osmotique
Dilatation jonctionelle de la terminaison du tronc basilaire
Dissection Carotidienne
Dissection Vertébrale
DVA (Anomalie de Developpement Veineuse)
DVP / DVE
Dysgénésie du Corps Calleux
Dysplasies Septo-Optiques
Ecchordosis physaliphora
Embol calcique cérébral
Embols Graisseux cérébraux
Empyème sous-dural cérébral
Encéphalite Limbique Autoimmune
Encéphalites Virales
Encéphalomalacie / Porencéphalie
Encéphalomyélite Aigue Disséminée (ADEM)
Encéphalopathie de Wernicke
Encéphalopathie Hypoglycémique
Encéphalopathie Hypoxique Ischémique Adlute
Encephalopathie Toxique
Engagements Cérébraux
Ependymome Spinal / Ependymome Myxopapillaire
Epilepsie / Etat de mal épileptique
Evolution des Pontages vasculaires
Evolution des Pontages vasculaires
Fistule Durale Cérébrale (dAVFs)
Fistule Durale Spinale (dAVF)
Fuite de LCR
Fuite de LCR post Cimentoplastie
Germinome Suprasellaire
Guillain-Barré (GBS)
Hamartome Hypothalamique
HED (Hématome Epidural)
Hémangiopericytome Meningé
Hématome Intraparenchymateux Cérébral
Hématome sous-galéal
HSA (Hémorragie Sous-Arachnoidienne)
HSA périmésencéphalique
HSA vs Hématome cérébelleux
HSD (Hématome Sous-Dural)
HTIC (Hypertension Intracranienne Idiopathique)
Hydrocéphalies
Hypophysites
Hypotension Intracranienne
Infarctus veineux cérébral
Infections fongiques cérébrales
Intoxication au CO
Intra-Axial vs Extra-Axial
Ischémie Médullaire
Kyste Dermoïde Spinal
Kyste Neurentérique Spinal
Kystes Cérébraux
Lacunes Cérébrales
Lésions Axonales Diffuses
Lésions du Plexus Choroide
Lesions Epidurales Spinales
Leucémie Cérébrale
Leucoaraiose (Fazekas)
Leucodystrophies
Lhermitte-Duclos
Lipomatose épidurale
Lipome Sous-galéal
Lipomes intracraniens
Lissencephalie - Pachygyrie
Lymphomes Cérébraux
Maladie de Fahr
Maladie de Horton de l'artère Temporale
Maladie de Pott / Abcès Froid (TBC)
Maladie de Wilson Cérébrale
Malformations Kystiques de la Fosse Postérieure
Marchiafava-Bignami
Masses du Sinus Caverneux
MAV Cérébrale
MAV Spinale
Méningiomatose
Méningiome Intra-ventriculaire
Meningiomes
Méningite bactérienne cérébrale
Meningite des citernes de la base
Métastases cérébrales
Mort Cérébrale
Moya-Moya
MPNST
MVNT (Multinodular and Vacuolating Neural Tumor)
Myélinisation
Myélite Transverse
Myélome Multiple Leptoméningé
Nécrose corticale laminaire
Neuroborréliose (Lyme)
Neurocytome Central
Neurofibrome
Neuromyélite Optique (NMO)
Neurosarcoidose
Nevralgie du Trijumeau (V)
NF2
NIHSS
Oedème cérébral
Papilloedème IRM
Paralysie de Bell
Parasitoses cérébrales
Post-hypophyse ectopique
PRES (Posterior Reversible Encephalopathy Syndrome)
Pseudoméningocèle Traumatique
Pyoventriculite
Schizencéphalie
Sclérose en Plaques (SEP)
Sclérose Hippocampique
Sclérose Latérale Amyothrophique (SLA)
Sidérose Superficielle
Spectroscopie
Sténose de l'Aqueduc de Sylvius
Sténose et Plaque Carotidienne
Stimulateur médullaire
Syndrome de Vasoconstriction Cérébrale Réversible (SVCR)
Syndrome du Vol Sous-clavier
Syndrome Hémichorée-Hémiballisme
Syrinx
Télangiectasie Capillaire Cérébrale
Thrombolyse (AVC)
Thrombose des Veines Cérébrales Internes
Thrombose du sinus caverneux
Thrombose Veineuse Cérébrale
Tinnitus Pulastiles
TIPIC Syndrome
Tolosa-Hunt
Tractographie
Transformation Hémorragique AVC (Heidelberg)
Trauma spinal
Tuberculose Cérébrale (TBC)
Tuberculose Cervicale (TBC)
Tumeurs cérébrales: Gliomes
Tumeurs cérébrales: Tumeurs Embryonnaires
Tumeurs cérébrales: Autres Gliomes
Tumeurs cérébrarles : Bas grade vs Haut Grade
Tumeurs de la base du crane
Tumeurs de la fosse postérieure
Tumeurs Intra-Durales Extra-Médullaires
Tumeurs Intramédullaires
Tumeurs Pinéales
Valves Neuro
Variantes des Ventricules Cérébraux
Variantes Vasculaires Cérébrales
Vasculites Cérébrales
Ventriculocysternostomie
Vertiges Centraux
Virchow-Robin
Web Carotidien
Onco-Dig
0 - Memo Onco
1 - ADP Mediastino-Hilaires
1 - Anatomie des Omentums
1 - Aspect CT de l'oesophage
1 - CHOI
1 - Espaces du Rétropéritoine
1 - LI-RADS
1 - Schema foie
1 - Segments Hépatiques
1- RECIST 1.1
1- Résections Colo-Rectales
Abcès amibien hépatique
Abcès Hépatique
Adenocarcinome de l'Estomac
Adenocarcinome de la Prostate (CT)
Adenocarcinome du Colon
Adenocarcinome du Pancréas
Adénome Hépatique
Adenomyomatose Vésiculaire
Adenopathies (Node-Rads)
Anastomoses Iso-Anisoperistaltique
Angiodysplasie Digestive
Angiomyolipome Hépatique
Arcade de Buhler (Variante)
Artère Hépatique: Variations
Aspect des Selles
Atrophie Hépatique
Biliome / Fuite biliaire
Body Pack
Budd-Chiari
Bypass Gastrique
Caecum Mobile
Calcifications Hépatiques
Calculs Residuels Post-Cholecystectomie
Cancer de l'oesophage
Cancer du Grêle
Cancer du Rectum
Carcinoide du Grêle
Carcinose Péritonéale
Cavernome Porte
CHC (Carcinome Hépato Cellulaire)
CHC Fibrolamellaire
Cholangiocarcinome
Cholangiopathie du SIDA
Cholangite auto-immune (IgG4)
Cholangite Biliaire Primitive (CBP)
Cholangite Recurrente Pyogène
Cholangite Sclérosante Primitive (CSP)
Cholecystite emphysemateuse
Cholecystite Xanthogranulomateuse
Cholélithiase
Colite pseudomembraneuse
Complexe de von Meyenburg (Hamartomes Biliaires Multiples)
Corpuscules de Gamna-Gandy
Cystadénome Biliaire Hépatique
Cystadénome Mucineux / Séreux Pancréatique
Défeco-IRM
Diastasis des Grands droits
Diverticule duodénal
Diverticule Gastrique
Diverticulose
Divertivulite Jéjunale / Iléale
DPC (Whipple)
Drain de Kehr
Dysmorphisme Hépatique
Echinococcoses Hépatiques
Ectasie des voies biliaires
ERCP (Endoscopic Retrograde Cholangio Pancreatography)
Fibrose Hépatique
Fistule péri-anale
Foie Cardiaque
Foie Cirrhotique (lobes)
Foie Hyperdense
Foie post-Chimiothérapie
Fundoplicature selon Niessen
GIST
Hémangioendothéliome Epithéloide Hépatique
Hémangiome Hépatique
Hémoragie Surrénalienne
Hemorragie Diverticulaire
Hémosidérose / Hémochromatose (Abdomen)
Hepatectomie / Lobectomie
Hernie Hiatale (RX)
Hernies de la paroi abdominale
Hernies Hiatales
Hernies Inguinales / Fémorales
Hibernome
Hyperplasie Nodulaire Focale (HNF)
Hypertension portale segmentaire
Hypertension porte
Immunothérapie vs Thérapies Ciblées
Infiltration Graisseuse du Pancréas
Ischémie des Voies Biliaires
J-Pouch
Kyste Biliaire Simple / Kyste Cilié
Kyste d'inclusion péritoneal
Kyste Surrénalien
Kystes du Cholédoque
Lésion graisseuse rénale
Lésions Graisseuses Hépatiques
Lésions Hépatique sur Foie Sain (CT)
Lésions Hépatiques IRM
Lésions Spléniques Bénignes
Lésions Spléniques malignes
LI-RADS US
Ligaments Peritoine et Mesentère
Lipomatose de la valve iléo-caecale
LPAC (Low phospholipid-associated cholelithiasis syndrome )
Lymphangiome Kystique Abdominal
Lymphome du Grêle
Lymphome du Mésentère
Lymphome Gastrique
MAFLD
Maladie Celiaque
Maladie de Crohn
Maladie de Menetrier
Maladie de Wilson (Hépatique)
Masses Pré-Sacrées (Retro-rectales)
Mégacolon Toxique
Méniscose Dégénerative
Mésentérite Sclérosante
Mésothéliome malin Péritonéal
Metastase Intra-Rénale
Métastase surrénalienne
Métastases Gastriques
Métastases Hépatiques
Metastases Ovariennes
Métastases Pancréatiques
Montage en Omega
Mucocèle Appendiculaire
Myélolipome Surrénalien
Myélome multiple Hépatique
Nodule Thyroidien (CT)
Nodules dans la Cirrhose
Nonrotation Intestinale
Oesophagectomie
Oesophagite
Omental Cake
Opérations de Billroth
Organes Intra-peritonéaux
Pancreas Annulaire
Pancreas Divisum
Pancreas Ectopique
Pancréatite auto-immune (IgG4)
Pancréatite chronique
Paralysie Diaphragmatique
PEG (Gastrotomie endoscopique percutanée)
Péliose Hépatique
Péritonite sclérosante encapsulante
Peritonite Tuberculeuse
Pneumatose intestinale "Bénigne"
Polypes du Colon
Polypose Adénomateuse Familiale (FAP)
Presbyoesophage
Pseudo-anévrisme post pancréatite
Pseudodiverticulose Oesophagienne
Pseudomyxome Péritonéal
Pseudoprogression sous Immunothérapie
Rade Baladeuse
Rate accessoire intra-pancréatique
Rate Blladeuse
RCUH
Rectopexie
Rétropéritoine du Foie
Rupture splénique post-coloscopie
Santorinicele
Sarcoidose (Abdomen)
Sarcome Retropéritonéal
Score CHILD (Cirrhose)
Shunt Artérioporte
Splénomégalie
Steatose hépatique
Syndrome de la Pince Aorto-Mesentérique
Syndrome de Lynch (HNPCC)
Syndrome de Mirizzi
Syndrome de Peutz-Jeghers
Tailgut cyst
Textilome
Thrombose Porte
TIPMP
TKA (Transformation Kystique des Acinis)
TNE de l'estomac
TNE du Pancreas (pNET)
TOGD Normal
Troubles perfusionnels Hépatiques
Tuberculose Abdominale (TBC)
Tumeur acinaire du pancréas
Tumeur pseudopapillaire et solide (TPPS)
Variantes des lobes hépatiques
Variantes des Voies Biliaires
Veine hépatique accessoire inférieure
Veinopathie portale obliterante
Vésicule en Porcelaine
ORL
1 - Adenopathies cervicales
1 - Anatomie de la parotide
1 - Anatomie du Nerf Facial
1 - Espaces profonds du Cou
1 - NIRADS
1 - Torus tubaire
Abcès Amygdalien
Abcès Rétropharyngé
Adénocarcinome Sinonasal
Adenopathie Necrotique ORL
Angine de Ludwig
Cancer du Sinus Piriforme
Carcinomes Epidermoides ORL
Déhiscence du Canal Semi-Circulaire Supérieur
Dents (lésions)
Dents (numérotation)
Dysplasie Fibreuse Craniofaciale
Epaississement des parties molles pré-vertébrales
Epiglottite Adulte
Fosse de Rosenmuller (Cavum)
Fracture du nez
Fracture du Rocher
Fracture Naso-Orbito-Ethmoïdale (NOE)
Glande Lacrymale
Granulomes à Cholestérine
Hémangiome de la Voute du Crane
Invasion Périneurale
IRM Mandibulaire
Kyste de Tornwald
Kyste Dermoide Buccal
Kyste des Arc Branchial
Kyste du Tractus Thyréoglosse
Kyste Mandibulaire
Lambeau
Laryngocèle
Lésions de l'Espace Masticateur
Masses du Clivus
Médiastinite Nécrosante Descendante (Danger Space)
Méningiome de la Gaine du Nerf Optique
Mucocèle Paranasal
Nerf Optique
Orbite: Trauma
Orbite: Anatomie
Orbite: Autres
Orbite: Corps Etrangers
Orbite: infections
Orbite: inflammations
Orbite: lésions vasculaires
Orbite: Tumeurs
Oreille Externe
Oreille Interne
Oreille Moyenne
Ostéonecrose Mandibulaire / Maxillaire
Otite Externe Maligne
Otospongiose / Otosclérose
Papillome Inversé Nasal
Paragangliome
Paralysie des Cordes Vocales
Périostite de l'Apex Pétreux
Polype Antrochoanal
Ranula
Schwannome Vestibulaire
Sialolithiase
Sialose
Sinusites
Sjögren Salivaire
Syndrome d'Eagle
Syndrome de l'Aqueduc Vestibulaire Elargi
Syndrome de Lemierre
Thrombophlébite de la Veine Jugulaire Interne
Thyroide Ectopique
Torus Mandibulaire
Tumeurs Parotidiennes
Variantes des des Sinus de la Face
Wegener (ORL)
Ostéo
0 - Mémo Osteo
0 - Tuto Goutte
1 - 4 Critères de Malignité (OS)
1 - Angle Magique
1 - Articulation Acromio-Claviculaire
1 - Checklist Rhumato RX
1 - Condyles du Genou sur une RX Profil
1 - Effet Mach
1 - Fractures (description)
1 - Glossaire des termes Ostéo
1 - Incidences RX
1 - IRM Biceps
1 - IRM Cervicale
1 - IRM Cheville
1 - IRM Epaule
1 - IRM Genou
1 - IRM Lombaire
1 - Ligaments du Poignet
1 - Loges musculaires de la cuisse
1 - Muscles Accessoires du Poignet
1 - PTE Mesures
1 - Rapport Tumeur osseuse
1 - RX Poignet (Anatomie)
1 - Tendon extenseur des doigts
1 - US d'Epaule
1 - US Genou
1 - US Poignet
1 - XA Arthrographies
1 TFCC (Anatomie)
1- Matrices Osseuses
Abcès de Brodie
Abcès paraspinal
Adamantinome
Agénésie Pediculaire Cervicale
Angiomatose Kystique Osseuse
Anomalies transitionelles
Arhtrite Psoriasique
Arthropathie Hémophile
Arthrose Erosive des mains
Atrophie des muscles de l'epaule
Bursite olécranienne
Bursite Trochanterienne
Calcifications des tendons de la coiffe
Canal cervical etroit (CCE)
Canal Lombaire Etroit (CLE)
Capsulite Rétractile
Chondroblastome
Chondrocalcinose
Chondromatose Synoviale du Genou
Chondrome Juxta-Cortical
Chondropathie (Grades)
Chondrosarcome
Choppart et Lisfranc (Pied)
Chordome Sacro-Coccygien
Classification des ruptures de la coiffe
Clou Gamme / DHS
Coalition Luno-triquétrale
Coalitions Tarsiennes
Coned Epiphysis
Conflit Fémoro-Acétabulaire
Conflit sous-acromial
Conflits de la Cheville
Consolidation des fractures
Coxarthrose
Déchirure méniscale
Déchirure Musculaire (Munich)
Déformation de Madelung
Dénervation Musculaire
Discopathie
DISH/OPLL
Dislocation Scapho-Lunaire
Dysplasie de la Trochlée
Dysplasie Fibreuse Os
Elastofibrome de l'Epaule
Enchondrome
Enostose
Enthésophyte
Entorse LLI ou LLE Genou
Épanchement Ténosynovial
Eperon supra-condylien
Espace Acromio-Huméral
Fasciite Plantaire
Fibrome Chondromyxoïde
Fibrome Non Ossifiant (NOF)
Fracture vertébrale (Tassement)
Fracture de l'EDR (Extremité Distale du Radius)
Fracture de l'Eminence intercondylienne
Fracture de l'Os Scaphoïde
Fracture de la rotule
Fracture de Segond
Fracture de Stress
Fracture du coracoïde
Fracture du Triquetrum
Fracture Périprothétique
Fracture tri-malléolaire
Fracture Vertébrale Pathologique vs Traumatique
Fractures Acetabulaires
Fractures de Jones / Pseudo-Jones
Fractures de la Cheville (Weber)
Fractures des Doigts
Fractures du Calcanéus
Fractures du Coude
Fractures du Fémur
Fractures du Genou
Fractures du Talus
Ganglion Poplité
Ganulome / Metallose Péri-Prothèse
Genou du sauteur
Goutte
Granulome Eosinophile Osseux
Hallux Valgus
Hémangiome Osseux
Hemangiome Synovial
Hémochromatose (Mains)
Hernie de Pitt
Hernie Discale
Hernie intraspongieuse (schmorl)
Histiocytome Fibreux Malin (HFM)
Hyperparathyroidisme
Infarctus Osseux IRM
Instabilité Carpienne
Instabilité osseuse (3 colonnes)
Kyste de Baker
Kyste de Tarlov
Kyste méniscal médial
Kyste Osseux Anévrismal (ABC)
Kyste Osseux Unicameral
Kyste synovial du poignet
Kystes Osseux
Laminectomie et Décompression
Ledderhose (Fibromatose du Fascia Plantaire)
Lesion de Stenner (Pouce du Skieur US)
Lésion du Point d'Angle Postero-Externe (PAPE)
Lésions Costales
Lésions Lytiques Osseuses
Lipome Arborescent
Lipome des Tissus mous
Lipome intra-osseux
Liposarcomes
Luxation Acromio-Claviculaire
Luxation de Hanche
Luxation du tendon du long Biceps
Luxation Métacarpo-Carpienne
Luxation Radio-Ulnaire (RUD)
Luxation sterno-claviculaire
Luxation-Réduction de rotule
Luxations Carpiennes (RX Poignet)
Luxations de l'Epaule
Lymphome Osseux
Maladie de Gaucher
Maladie de Paget
Maladie des exostoses multiples
Melorhéostose
Ménisque Discoïde
Mesures de TAGT
Métastases Osseuses
MODIC
Moelle rouge IRM
Muscle Aconeus Epitrochlaris accessoire
Muscle soléaire accessoire
Muscles Peronés Accessoire
Myélofibrose
Myélome Multiple Osseux
Myosite
Myosite ossifiante
Nécrose Avasculaire de la Hanche (AVN)
Nécrose de l'os sésamoïde
Nerf médian bifide
Névrome de Morton
Omarthrose Centrée vs Excentrée
Os accessoires: Cheville Pied
Os accessoires: Colonne
Os accessoires: Epaule et Coude
Os accessoires: Genou et Hanche
Os accessoires: Poignet
Os Wormiens
Osteite Pubienne
Osteoarthropathie Hypertrophique Pulmonaire
Osteoblastome
Ostéochondrite disséquante
Osteochondrome
Ostéome ORL/Voute crânienne
Osteome ostéoide
Osteomyélite Chronique
Ostéonécrose Vertébrale
Osteopetrose
Ostéopoikilose
Ostéosarcomes
Patellectomie verticale externe
Pathologies des Tendons du Poignet
Pellegrini Stieda
Pied de Charcot
Plastie des ligaments croisés
Plica Synoviale (Genou)
Polyarthrite Rhumatoide (PR)
Prothèse de Hanche
PVNS (Pigmentary Villo-Nodular Synovitis) Genou
Quintus Varus
Rupture du LCA
Rupture du tendon d'Achille
Rupture du tendon patellaire
Rutpure de Poulie
Sacro-Iliaques
SAPHO
Sarcome Synovial
Sarcomes
Sarcomes d'Ewing
Sésamoïdite
Signe du Croisement (Conflit de Hanche)
SLAP lésion de l'épaule
SONK
Spondylarthrite Ankylosante (SPA)
Spondylodèse
Spondylolyse / Spondylolisthésis
Statique de la Cheville (RX)
Statique du Pied (RX)
Syndrome de Haglund
Syndrome de l'essuie-glace
Syndrome de Ollier vs Maffucci
Synovite (Genou)
TCGTS Tendineuse
Tendinite Calcifiante du muscle long du cou
Tendon/Muscle plantaire
Thalassémie (Os)
TLIF, ALIF, PLIF, ACDF, XLIF
Tumeur à Cellules Géantes (TCG)
Tumeur Desmoïde
Tumeur Glomique
Tumeurs Osseuses (Schéma)
Tunnel Carpien
Tunnel Tarsien
Tunnel Ulnaire
Types d'Acromion
US Infiltration de Hanche (Moyen Fessier)
US Synovite des MCP
Variance ulnaire
Vertebra Plana
Vertèbres en Limbus
XA Arthrographie Hanche
XA Arthrographie PTH
XA Arthrographie Cheville
XA Arthrographie Coude
XA Arthrographie Epaule
XA Arthrographie Genou
XA Arthrographie Inter-apophysaire
XA Arthrographie Poignet
XA Arthrographie sous-talienne
XA Arthrographies PTG
Xanthome du tendon d'Achille
Ped
1 - CUM PED
0 - Memo PED
1 - Invagination Lavement Protocole PED
Abcès de Bezold PED
Abcès Rétropharyngé PED
Absence de Ligament Croisé Antérieur PED
Absence de Péricarde Congénital PED
Anévrisme de la Veine de Galien PED
Angiofibrome Juvénile PED
Arnold-Chiari I PED
Arnold-Chiari II PED
Arthrite Juvénile Idiopathique PED
Aspiration de Méconium PED
Astrocytome Spinal PED
Atrésie Choanale PED
Atrésie de l'Artère pulmonaire PED
Atrésie de l'Oesophage PED
Atrésie du Colon PED
Atresie Duodénale PED
Atrésie Gastrique PED
Atrésie Jéjunale/Iléale PED
Bandes Métaphysaires PED
Beckwith Widemann
Bezoar PED
Blastome Pleuropulmonaire PED
Bosses Neonatales PED
Calcinose Tumorale PED
Craniosynostose PED
CRMO PED
Dilatation Pyélo-Calicielle Néonatale PED
Dysplasie Broncho-pulmonaire PED
Dysplasie Congénitale de Hanche US PED
Dysplasie Epiphysaire hémimelique PED
Dysplasies Osseuses PED
Dysraphisme Spinal PED
Emphysème Lobaire Congénital PED
Emphysème Lobaire Congénital PED
Emphysème Pulmonaire Interstitiel PED
Encéphalopathie Hypoxique Ischémique PED
Entérocolite Nécrosante (NEC) PED
Epiglottite PED
Epiphysiolyse PED
Esthésioneuroblastome PED
Exstrophie vésicale PED
Fibromatosis Colli PED
Fracture d'avulsion patellaire PED
Fracture de Tillaux PED
Fracture en Cheveu d'Ange PED
Fracture Evolutive du Crane PED
Fracture SALTER-HARRIS PED
Fractures du Coude PED
Gastroschisis PED
Gliome Tectal PED
Hémangiome des tissus mous PED
Hemangiome Sousglottique PED
Hemorragie de la Matrice Germinale PED
Hemorragie Surrénalienne Neonatale PED
Hernie Diaphragmatique Congénitale PED
Hernie Hiatale (US) PED
Hernie inguinale neonatale PED
Hétérotopie de la Matière Grise PED
Holoprosencéphalies PED
HSA Néonatale PED
Ileus Meconial PED
Ingestion d'Aimants PED
Inhalation de Corps etranger PED
Intoxication au Plomb PED
Isomérismes / Situs Inversus PED
Kyste de Duplication Entérique PED
Kyste sous épendymaire (US Cerveau) PED
Laryngotrachéobronchite PED
Leucomalacie Périventriculaire PED
Lipoblastome PED
Luckenschadel PED
Lymphangiome Kystique Cervical PED
Macrocranie Bénigne PED
Maladie de Blount PED
Maladie de Hirschprung PED
Maladie de Perthes PED
Maladie de Wolman PED
Maladie des Membranes Hyalines PED
Maladies Cardiaques Congénitales PED
Malformation Congénitale des Voies Aériennes Pulmonaires (CPAM) PED
Malformations de l'Ouraque PED
Mégauretère Congénitale PED
Mucopolysaccharidoses PED
Néphroblastomatose PED
Néphrome Mésoblastique PED
Neuroblastome 1 - Abdominal PED
Neuroblastome 2 - Thoracique PED
Neuroblastome 3 - Staging PED
Neuroblastome 4 - Cervical PED
Omphalocele PED
Ostéochondrome Subungéal PED
Ostéochondroses PED
Osteogenesis Imperfecta (PED)
Paget Juvénile PED
Pancreatoblastome PED
Peritonite méconiale PED
PESS PED
Petite hypophyse PED
Pneumonie Néonatale PED
Pneumopéritoine Neonatal PED
Pneumothorax Néonatal PED
Pneuomine Ronde PED
Poignet du Gymnaste PED
Polymicrogyrie PED
Pseudohypoparathyroidisme PED
Pseudokyste pancréatique PED
Rachitisme PED
Réactions Periostées du Nouveau-Né PED
Rhabdomyosarcome Nasal PED
Rhabdomyosarcomes des Voies Urinaires PED
Rhomboencephalosynapsis
RUV (Reflux Urétéro-Vesical) PED
Scheuermann PED
Scoliose PED
Sturge Weber PED
Syndrome de Joubert PED
Syndrome du Bouchon Méconial PED
Synovite Aigue Transitoire (Rhume de Hanche) PED
Tachypnée Transitoire du Nouveau-Né PED
Tératome Sacrococcygien PED
TORCH Neuro PED
Trachéite bactérienne PED
Trauma Non Accidentel PED
Tuberculose PED
Tubes et Voies Nouveau Né PED
Tumeur de Wilms PED
Tumeurs Hépatiques PED
VACTERL PED
Valves urétrales Postérieures PED
Seno
0 - General Mammographie
1 - BI-RADS: a-Resumé
1 - BI-Rads: b-Masse
1 - BI-RADS: c-Calcifications
1 - BI-RADS: d-Distortion Architecturale
1 - BI-RADS: e-Asymétries
1 - BI-Rads: f-Signes Associés
1 - IRM Mammaire
Adenome Lactant
Adénopathie axillaire
Adenose Sclérosante
Angiosarcome du sein
Biopsie Mammaire par IRM
Biopsie Mammaire Stereotaxique
Cancer du Sein
Cicatrice Radiaire
Cytostéatonécrose Mammaire
Densité mammaire
Ectasie Canalaire
Envahissement du muscle grand pectoral
Epaississement cutané du sein
Fibroadénome
Filariose mammaire
Galactocèle
Galactophorite Ectasiante
Ganglion Intra-Mammaire
Ganglions du Sein (adénopathies)
Hamartome du Sein
Hematome Mammaire
Hyperplasie Canalaire Atypique (ADH)
Hysterectomies
Implants Mammaires
Injection de Silicone libre
Kyste du sein
Kyste Huileux du Sein
Lésion Cutanée (Mammo)
Lipome du Sein
Lymphome du Sein
Maladie de Mondor du Sein
Maladie Fibrokystique du sein
Mammelons Accessoires (polythélie)
Mammoplastie de Réduction
Mammoplastie de Réduction
Mastite à Plasmocytes
Mastopathie Diabétique
Métastase Mammaire
Metastases Cutanées (Sein)
Multiples Masses (Mammo)
Muscle sternal
Neurofibromatose (Sein)
Papillome et Carcinome Papillaire
PASH
Sein Masculin
Sein Post-Radique
Steatocystome Multiplex
Tissus mammaire ectopique
Triangulation Mammo
Tumeur Phyllode
Systemique
Collagénoses / Connectivites
Drepanocytose (Anémie Falciforme)
Glycogènose de Type 1
MEN (NEM) Syndrome
NF1 (Syndrome)
Rendu Osler
Sclérose Tubéreuse de Bourneville
Triade de Carney
Von Hippel Lindau (VHL) (Syndrome)
Technique
Choc Anaphylactique
Compatibilté IRM
Contre-Indications IRM
Densités HU (Houndsfield)
Dose Rayons
Extravasation de produit de contraste
Grossesse et Iode
Grossesse et IRM
Grossesse et Rayons
Iode et Autre effets
Iode et Insuffisance rénale
Marqueurs Laboratoire
Premedication Allergie Iode
Produit de contraste Oral
Thorax
0 - Guidelines des Nodules pulmonaires
0 - IRM Thorax
0 - Playlist Stagiaires
1 - AVIEW (Depistage poumon)
1 - "Ultra-Low Dose"
1 - Anatomie du Diaphragme
1 - Atténuation en Mozaïque
1 - Crazy Paving
1 - Fibrose (Lobes sups vs infs)
1 - Hiatus Diaphragmatiques
1 - Interventionel Thoracique
1 - IRM Thoracique (Artefacts)
1 - Kystes Pulmonaires
1 - Lignes et Bandes Médiastinales
1 - Lobule Pulmonaire secondaire (schema)
1 - Mediastin (Anatomie)
1 - Nodule pulmonaire (BTS)
1 - Nodule pulmonaire calcifié
1 - Nodule Scissural
1 - Nodules Pulmonaires (DD)
1 - Plaques Pleurales
1 - Rx Thorax (Anatomie et signes)
1 - Segments Pulmonaires
1 - Septas Pulmonaires
1 - Verre dépoli
Abcès Pulmonaire
Acute Fibrinous Organising Pneumonia (AFOP)
AEF / FILT / SRIF
Agammaglobulinémie liée à l'X
Amyloïdose Pulmonaire
Arc Aortique Droit (Rx)
Aspergillome
Aspergillose Broncho-invasive
Aspergillose Angio-invasive
Aspergillose Broncho-Pulmonaire Allergique (ABPA)
Aspergillose Semi-invasive (Chronique)
Asthme
Atélectasie Ronde
Atelectasies (RX)
Atrésie Bronchique Congénitale
Atteintes Pulmonaires du SIDA
BALT
Birt-Hogg-Dubé (Thorax)
BPCO / Emphysèmes
Bronchiectasies
Bronchiectasies Post-infectieuses
Bronchiolite (Maladie des Petites Voies Aériennes)
Bulles Géantes (Emphysème)
Cancer pulmonaire
Cancer pulmonaire Kystique (Shen)
Carcinoide Pulmonaire
Chylothorax
Clareté Pulmonaire (Rx Thorax)
Corps Etranger Rx Thorax
Covid-19
Dark Pulmonary Vein Sign
Deficit en Alpha-1 Antitrypsine
Depistage du cancer pulmonaire (Lung-RADS et NELSON+)
Devices Oesophagiens (Rx Thorax)
Diverticule Trachéal
Domage alvéolaire diffus (DAD)
Elevation d'un hémidiaphragme
Embolie de Ciment
Embolie Graisseuse
Embols septiques
Emphysème (RX)
Empyème Pleural
Epaississement Cartilagineux Trachéal
Epanchement pleural
Fibroélastose Pleuroparenchymateuse
Fibrothorax
Fistule Broncho-pleurale
Foramen Sternal
GLILD
Goitre Thyroidien
Granulome Hyalinisant Pulmonaire (GHD)
GVHD Pulmonaire
Hamartome Pulmonaire
Hématome Extrapleural
Hematopoïèse Extra-médullaire
Hémothorax
Histiocytose de Langerhans Pulmonaire (LCH)
Infection vs Tumeur Poumon
Insuffisance cardiaque (Thorax)
Interstitial Lung Abnormalities (ILA)
Interstitial Pneumonia With Autoimmune Features (IPAF)
Intubation trachéale (Rx Thorax)
Kyste Bronchogénique
Kyste Pleuro-Péricardique
Kystes de duplication Bronchique vs Oesophagien
Lipomatose Médiastinale
Lipome Diaphragmatique
Lipome Pleural
Lymphangioléiomatose (LAM)
Lymphangiome Kystique mediastinal
Lymphangite Carinomateuse
Lymphome lié au Sida
Lymphome Médiastinal
Maladie de Castelman
Maladie des chaines légères
Maladies Lymphoprolifératives Pulmonaires
Mammelon Aortique
Masses médiastinales
Masses Pleurales (Rx Thorax)
Mastectomie
MAV Pulmonaire
Mediastinite Fibrosante
Méningocèle Thoracique
Mesothéliome Malin Pleural
Métastases Endobronchiques
Metastases pulmonaires
Microlithiase Alvéolaire Pulmonaire (PAM)
Miliaire Vraie vs Pseudomiliaire Bronchogène
Mounier-Kuhn
Mucor Thoracique
Mucoviscidose (Thorax)
Mycobacteries Atypiques (Thorax)
Nocardiose Pulmonaire
Nodule pulmonaire (Fleischner)
Nodule Pulmonaire Graisseux
Nodules de PR (Thorax)
Oedème Induit par l'Héroine
Oleothorax
Ossification Pulmonaire Diffuse
Papillomatose Trachéo-bronchique
PCP (Pneumocystis Jirovecii Pneumonia)
Pectus carinatum
Pectus Excavatum
Pleurodèse (Talcage)
Pneumatocèle
Pneumoconiose: Asbestose
Pneumoconioses Autres
Pneumoconioses: Silicose
Pneumomédiastin
Pneumonie d'hypersensibilité (PHS)
Pneumonie d'Inhalation
Pneumonie post-radique
Pneumonies
Pneumonite Autoimmune
Pneumopathie à Amiodarone
Pneumopathie Lipidique Exogène / Endogène
Pneumopathies à Eosinophiles
Pneumopathies Interstitielles
Pneumothorax
Pneumothorax Catamenial (endométriose)
Pneumothorax sous Tension
Pneumothorax Spontané
Post-Transplantation de Poumon
Poumon Blanc (Rx)
Poumon du Cannabis
Poumon Piegé (Trapped Lung)
Poumons en Fer-a-Cheval
Proteinose Alvéolaire (PAP)
Rayon de miel vs Emphysème Paraseptal vs FILT
Rupture diaphragmatique
Rx Thorax - Pieges
Sarcoidose (Thorax)
Sarcome de Kaposi Pulmonaire
Sarcome de l'artère pulmonaire
Sclerodermie
Sequestre Pulmonaire
Signe de la Silhouette (RX Thorax)
Splénose
Sténoses Trachéales et Bronchiques
Stent trachéobronchique
Syndrome de Kartagener
Syndrome de la VCS (Veine Cave Supérieure)
Syndrome de Löfgren
Syndrome de Poland
Syndrome de Swyer-James
Syndrome emphysème-fibrose (CPFE)
Syndromes (RX Thorax)
Tabac et Poumon
Teratome Mediastinal
Thymolipome
Thymus
Torsion Pulmonaire
Tracheobronchomalacie
Trachéomégalie secondaire
Tube de Trachéotomie (Rx Thorax)
Tuberculose Thorax (TBC)
Tumeur de Pancoast
Tumeur pleurale fibreuse solitaire
Tumeurs Trachéo-Bronchiques
Tumeurs Trachéo-Bronchiques
Variantes Bronchiques
Variantes Costales Thoraciques
Variantes des Veines Pulmonaires
Variantes Scissures
Varicelle Ancienne Thoracique
Wegener (Thorax)
Urgences
0 - Memo URG
1 - Ponction Articulaire aux urgences
1 - RX Abdomen Normal
Abcès sous-diaphragmatique
Abcès Splénique
Adenite mésentérique
Ampullome
Anasarque
AO Spine C0-C1-C2
AO Spine Cervicales
AO Spine Dorso-Lombaire
AO Spine Sacrum
Appendagite epiploique
Appendicite
Arthrite septique
Atteintes Ligamentaires (Fractures Cervicales)
Blow-Out fracture de l'orbite
Calculs Urinaires
Choc (Hypotension)
Cholangite ascendante
Cholecystite Aigue
Cholédocholithiase
Colite infectieuse
Colite Stercorale
Dislocations atlanto-occipitale (C0-C1)
Diverticulite
Diverticulite Caecale
Diverticulite de Meckel
Douleurs Abdominales PED
Embolie Pulmonaire (EP)
Epistaxis
Fasciite Nécrosante
FAST
Fécalome
Fracture "Teardrop" Cervicale
Fracture de l'Odontoide (Alonzo)
Fracture de Rate
Fracture du complexe Zygomatico-Maxillaire
Fracture du sternum
Fracture mandibulaire
Fractures de Jefferson et du Pendu (C2)
Fractures de LeFort
Fractures du pelvis
Gastrite
Grossesse et Embolie pulmonaire (DD)
Hematome des parties molles sur anticoagulants.
Hématome Médiastinal
Hemopericarde
Hemoptysies
Hépatite Aigue
Hernies Internes
Iléite Terminale
Ileus
Ileus Biliaire
Infarctus de l'Omentum
Infarctus de la graisse Epipéricardique
Infarctus Splénique
Intestin post-opératoire
Invagination Jéjuno-Jéjunale
Ischémie Gastrique
Ischémie Mésentérique Aigue
Ischémie Mésentérique Chronique
Kyste Hémorragique de l'Ovaire
Kystes Péribiliaires
Lésion avec du Bois
Lésion de Ceinture de Sécurité
Maladie de Whipple
Nécrose corticale rénale
Oedeme pulmonaire
Ostéomyélite Aigue
Pancreatite Aigue
Pancréatite de la Queue
Perforations Digestives
Pneumopéritoine
Pyélonéphrite Aigue
Pyonéphrose
Radiographie de l'Odontoide
Spondylodiscite
Subluxation atlanto-axiale (C1-C2)
Syndrome de Bouveret
Syndrome de Goodpasture
Tamponade Péricardique
Thrombose de la Veine ovarienne
Torsion d'Annexe
Torsion de l'omentum
Trauma Cardiaque
Trauma de la Vessie
Trauma Hépatique
Trauma mésentérique
Trauma Pancréatique
Trauma Renal
Trauma Splénique
Trauma Surrénalien
Trauma Testiculaire
Trauma Thoracique
Typhlite (Colite Neutropénique)
Ulcère Duodénal
Ulcère Gastrique
Urinome obstructif
Vesiculite Séminale
Volvulus de l'estomac
Volvulus du Sigmoïde vs du Caecum
Vomissement du nourrisson PED
Uro-Gen
0 Espace de Reitzus
1 - Anatomie IRM pelvis femme
1 - Anatomie IRM prostate
1 - IRM Pelvis
Adénocarcinome de l'endomètre
Adénome surrénalien
Adénomyose Utérine
Agénésie Rénale
Angiomyolipome Rénal
Bosniak (2019)
Bosse de Dromadaire
Calcifications des Vésicules Séminales
Calcifications Vésicales
Calculs Jackstone Vésicaux
Cancer du Col
Cancer du Col Utérin
Cancer Vaginal
Carcinome Adrénocortical
Carcinome de l'Ouraque
Carcinome Medullaire du Rein
Carcinome Rénal (RCC)
Carcinome Urothelial
Césarienne
Colonne de Berthin Hypertrophique
Corps Jaune
Cryptorchidie
Cystadénomes Ovariens
Cystite Emphysèmateuse
Diverticule Caliciel
Diverticule de l'urètre
Diverticule Vésical
Double Système Excréteur
Ectopie Rénale croisée-fusionnée
Endométriose
Fistule Colo-Vésicale
Flexion Version Uterus
Fungus Ball Urinaire
Grossesse Ectopique
Grossesse Extra-Utérine (GEU)
Hematome Intra-vesical
Hématome périrénal
Hydrocolpos
Incidentalome surrenalien
Infarctus renal
Jet d'urine intravésical
Kyste de Bartholin
Kyste de Gartner
Kyste de l'Utricule Prostatique
Kyste de la vésicule séminale
Kyste de Muller
Kyste de Naboth
Kyste de Skene
Kyste Dermoïde Ovarien
Kyste du Canal de Nuck
Kyste Ovarien CT / IRM
Kystes Parapyéliques
Léiomyome de la Vessie
Ligament Rond
Lipoleiomyome
Lipomatose Pelvienne
Lithotripsie Extracorporelle (ESWL)
Lobulations Fétales du rein
Lymphome Rénal
Malformations Utérines
MAV Renale
Migration d'un DIU
Myomes Utérins
Néphrectomies (Types)
Nephrocalcinose
Néphrome Kystique Multiloculaire
Nephropathie au Lithium
Oncocytome Renal
ORADS
Phases Rénales
Phéochromocytome
Pheochromocytome de l'organe de Zuckerkandl
PID
PIRADS (Cancer de la prostate)
Polykystose Rénale
Prostatite / Abcès Prostatique
Prothèse Penienne
Pseudodiverticulose Uretérale
Pyelite / Pyelonéphrite Emphysèmateuse
Pyelonéphrite Chronique
Pyélonephrite Xanthogranulomateuse
Pyeloureteritis Cystica
Rein Pelvien
Reins en Eponge Medullaire
Reins en Fer-A-Cheval
Rejet chronique de Transplant Rénal
Rétention liquidienne de l'endomètre
Salpingite Isthmique Nodulaire (SIN)
Séquelle de traitement de Cancer Renal
SOPK
Sténose Uretrale
Syndrome d'Asherman
Syndrome de Congestion Pelvienne
Syndrome de la Jonction
Syndrome de Waterhouse-Friderichsen
Teratome Rétropéritonéal
Thrombose de la Veine Rénale
Transposition Ovarienne
Trauma Uretral
Tuberculose Renale (TBC)
Tumeur de Collision Surrénalienne
Tumeur de Kruckenberg
Tumeurs Ovariennes du cordon sexuel et du Stroma
TURV vs TURP
Types de Cancers de la vessie
Uretère Rétrocave
Vessie Neurogène
US
0 - Memo Echo US
1 - US Microbulles
Abcès Mammaire US
Abcès Rénal US
Adénocarcinome du Pancréas US
Adénome Hépatique US
Adénomyose Utérine US
Aerobilie US
Aeroportie US
Anévrisme de l'Aorte US
Appendicite US
BI-RADS (US)
Biopsie du Sein US
Burned-out tumeur du Testicule US
Calcul Rénal US
Cancer de la Vésicule biliaire US
Cancer Ovarien US
Carcinome de l'Endomètre US
Carcinome Rénal à Cellules Claires US
CHC US
Choledocholithiase US
Cirrhose US
Crohn/RCUH US
Cytoponction Thyroide US
Dechirure du Mollet US
Dilatation Pyélocalicielle US
DIU / Sterilet US
Drainage Abcès Mammaire US
Dysfonction Erectile US
Ectasie Tubulaire du Rete Testis US
Endometriose US
Epanchement Pleural US
Epicondylite Coude Us
Goutte US
Hemangiome Hépatique US
Hématome Scrotal US
Hémopéritoine US
Hernies Abdominales (US)
HNF US
Hydatide Testiculaire/Epididyme US
Hydrocèle US
Hypertension Portale US
Infarctus Testiculaire Chronique (US)
Infiltration du Supra-Epineux
Kyste de l'Albuginée US
Kyste de l'Epididyme / Spermatocèle US
Kyste épidermoïde testiculaire US
Kyste Ovarien US
Kyste Paraovarien US
Kyste Rénal Simple US
Kyste Sebacé / Epidermique US
Kyste sébacé du sein (US)
Kyste Testiculaire US
Lipomatose testiculaire US
Lipome Cutané US
Liponécrose Mammaire US
Lymphocèle Périrénal US
Lymphome Testiculaire
Maladie de Basedow US
Maladie de La Peyronie US
Mastite Granulomateuse US
Mastite US
Métastases Hépatique US
Microkystes en Cluster du Sein
Microlithiase Testiculaire US
Nodule Thyroïdien US (TI-RADS)
Orchiepididymite US
Pancréatite US
Parathyroides US
Polykystose Hépatique US
Polype de l'Endomètre US
Polype de la Vésicule US
Pose de Drain Skater US
Pyélonéphrite US
Rate US
Repérage Harpon US
Résidu post-mictionnel (RPM)
Rupture de prothèse du Sein US
Rupture Testiculaire US
Ruptures de la Coiffe des Rotateurs US/IRM
Scrotolithe US
Seminome Testiculaire US
Steatose Hépatique US
Syndrome d'Hyperstimulation Ovarienne US
Thrombose de la veine rénale post-greffe (US)
Thyroïde Multinodulaire US
Thyroidite de Reidels
Thyroïdites US
TIPS (US)
Torsion Testiculaire US
Transplantation Hépatique (US)
Tumeur Non-Seminomateuse Testiculaire US
TVP MI US
TVP MS US
Urétérocèle US
US sans IPP (Fast aux urg)
Uterus US
Varicocèle (US)
Vasectomie US
Home
❯
US
❯
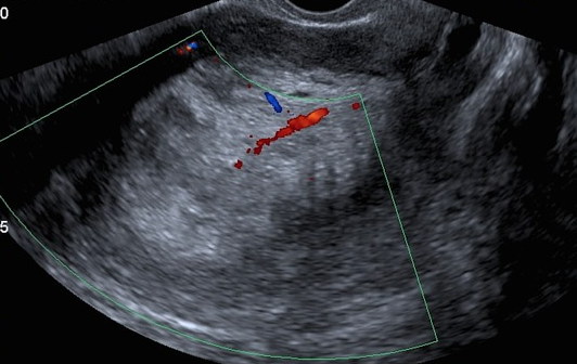
Carcinome de l'Endomètre US
Carcinome de l'Endomètre US
Jul 10, 2020
1 min read
endometre endometrial