Général

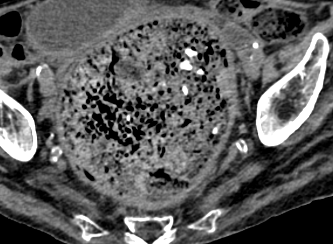
  • Risque de Colite Stercorale

CT

2661269

RX

  • Ne pas confondre avec la vessie !

43b46eb06ce15380e223027eeedfa26d.png


Cas

Entrainant une ischémie


facalome fecalome faecal fécal fecal fecaloma