Général
- Gastrite / Ulcère Peptite = 1ere cause de douleur du QSG
Aspect Evident
- Cratères
- Oedème sous-muqueux

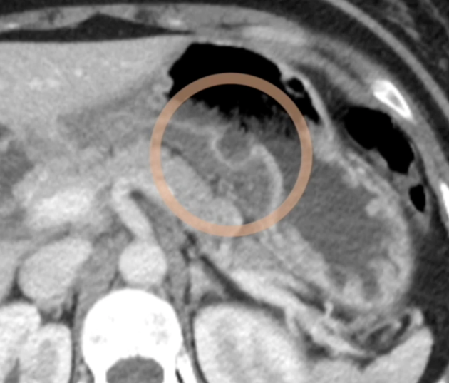
Aspect plus subtil
- Infiltration du ligament Gastro-Hépatique
- Epaississement de la paroi gastrique

ulcer ulcere estomac
1 min read
Général
Aspect Evident

Aspect plus subtil

ulcer ulcere estomac